近日,中南大学湘雅三医院成功救治一例同期发现的超巨大髂主动脉瘤、濒临破溃的胆囊危象的超高龄男性患者。血管外科为患者实施血管腔内介入手术-腹主动脉、髂动脉覆膜支架腔之后,肝胆外科序贯行胆囊微创治疗,成功拆除两枚严重危及生命的炸弹,使得患者转危为安。患者已于6月26日成功出院。
92岁的张爷爷(化名)既往明确冠心病、胆石症及帕金森等病史,于2024年6月14日,因右上腹疼痛20余天加重8小时深夜就诊于中南大学湘雅三医院急诊科。在急诊抢救室完善相关检查后,发现患者有以下症状:1.右侧髂总动脉巨大真性动脉瘤并附壁血栓形成。胸一腹主动脉多发动脉粥样硬化,并溃疡形成。2.胆增大(13*7cm),胆结石。胰腺多发低密度灶,3.冠心病。
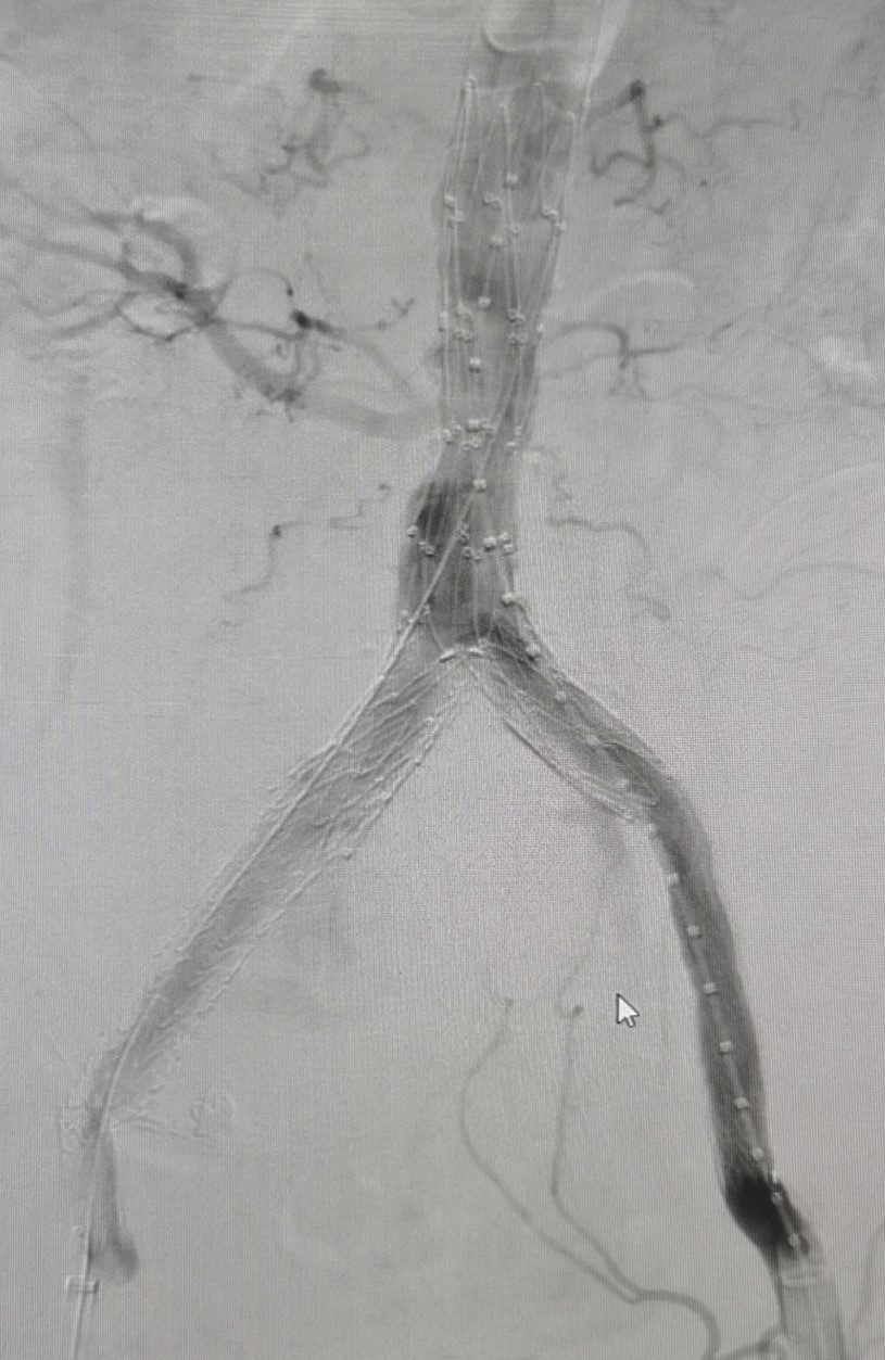
因患者为超高龄患者,且基础疾病多,血管病变中髂动脉瘤超大,胆囊巨大,两个病变都随时存在破馈风险,情况万分危急,患者命悬一线。急诊科迅速启动全院多学科大会诊,深夜共同讨论具体救治方案。副主任医师刘炼指出患者虽超高龄,但平时状态较好,且目前髂动脉瘤直径超过8cm,随时存在破溃风险,经逐级上报血管外科主任姚凯后,指示患者诊断明确,病情危重,需行急诊手术。经与患者及家属详细沟通并征得同意后,各学科通力合作,心内科、急诊科精准控制血压,麻醉手术科评估患者身体情况拟定麻醉方案,保障术中安全,超声科及影像科精确解析病变血管解剖结构及血管内病变性质,为血管腔内微创治疗提供有力支持,复合手术室极速完成行术前准备...微创手术腹主动脉、髂动脉覆膜支架腔内隔绝手术手术随即在周六的凌晨2时紧急开展,姚凯主任、王征副主任医师组成的专业血管疾病团队,克服患者超高龄、基础情况差等种种不利因素,成功克服全身多处血管钙化,主动脉狭窄、髂血管极度扭曲等困难,不到2小时就成功实施微创血管介入手术,术后患者平稳送入ICU病房。
术后1天,患者开始出现胆红素迅速升高,最高达140(为正常值的8倍以上)。肝胆外科主任余枭团队随即适时行胆囊B超引导下穿刺引流置管,治疗效果极好。术后3天,患者胆红素就恢复至正常水平,患者于6月26日成功出院。患者及家属对此诊疗极为满意,向医院医生表示感谢。
中南大学湘雅三医院血管外科主任姚凯介绍主动脉瘤并非肿瘤,而是一种动脉扩张性疾病,是指由于动脉粥样硬化、炎症、感染、遗传等因素导致腹主动脉壁薄弱,在高压动脉血流作用下发生直径扩大,形成主动脉瘤样扩张,在动脉内血压的作用下局部吹气球般膨胀、变形至极限时会发生破裂。主、髂主动脉瘤是一种异常凶险的血管疾病,它像一个不定时炸弹,不知道什么时候就引起爆炸(即胸腹主动脉瘤破裂)。胸腹主动脉瘤破裂后死亡率极高,88%病人送达医院后2小时内死亡,其自然病程五年的存活率仅19.6%。此患者的巨大髂动脉瘤实属罕见,超过正常值5倍以上,就像气球濒临破溃的时刻。现微创血管介入腔内手术创伤小,时间短,为高龄的病危患者救治首选治疗方案。

(左)腹主动脉支架置入前,(右)腹主动脉支架置入后
中南大学湘雅三医院血管外科专业团队提醒,“主动脉瘤早发现、早治疗是关键,目前彩超、CT血管造影等是常用检查手段。”暂未达到手术指征的主动脉瘤患者,应在医生指导下,规律服用药物控制血压和心率,定期随访检查,以监测动脉瘤的大小和生长情况。建议腹主动脉瘤患者戒烟、戒酒,保持心情舒畅,同时避免剧烈运动、用力排便、剧烈咳嗽等,以免造成动脉瘤破裂。
[上一篇] 产房开展“紧急剖宫产手术配合”专项培训...
[下一篇] 仑卡奈单抗在湘雅三医院开出首方,阿尔茨海...
人民网 | 新华网 | 中华人民共和国国家卫生健康委员会 | 中华人民共和国教育部 | 湖南省政府 | 红网 | 湖南省卫生健康委员会 | 湖南省教育厅 | 中南大学 | 湘雅医学院 | 湘雅医院 | 湘雅二医院 | 协和医院 | 华西医院 | 西京医院 | 瑞金医院 | 复旦中山医院 | 武汉同济医院 | 中山医院
医院地址:湖南省长沙市河西岳麓区桐梓坡路138号 中南大学湘雅三医院 版权所有
湘教QS3-200505-000574 备案序号:湘ICP备05001139号 今日访问人数:203077 总访问人数:474237059