近日,中南大学湘雅三医院胃肠外科张翼主任医师团队凭借精湛的外科技术与高效的多学科协作,成功为一例胃底巨大间质瘤合并出血、辗转多家医院被拒的患者解除病痛,彰显了医院在复杂胃肠肿瘤诊疗领域的实力。
这位57岁的患者因胃底巨大间质瘤持续出血,出现严重贫血症状,血红蛋白指标骤降,生命岌岌可危。为求救治,患者及家属辗转省内多家医院,均因肿瘤巨大,侵犯胰腺、紧密包绕脾动脉,手术分离难度极大、术中大出血风险高等原因被婉拒。在近乎绝望之际,患者及家属听闻湘雅三医院胃肠外科张翼主任医师在复杂胃肠肿瘤诊治方面经验丰富,遂抱着最后一丝希望慕名前来求助。
张翼主任医师接诊后,第一时间牵头对患者进行全面评估,经影像检查进一步确认:肿瘤体积巨大且与脾动脉粘连紧密,术中稍有不慎就可能引发致命性大出血,手术难度远超常规胃肠肿瘤手术。为最大程度降低风险,张翼教授先后多次组织全院大会诊,联合麻醉科、输血科、重症医学科、影像医学科等多学科专家反复推演手术方案,从手术入路的选择、血管保护的细节,到术中输血预案、术后并发症防控,每一个环节都制定了详尽的应对策略。
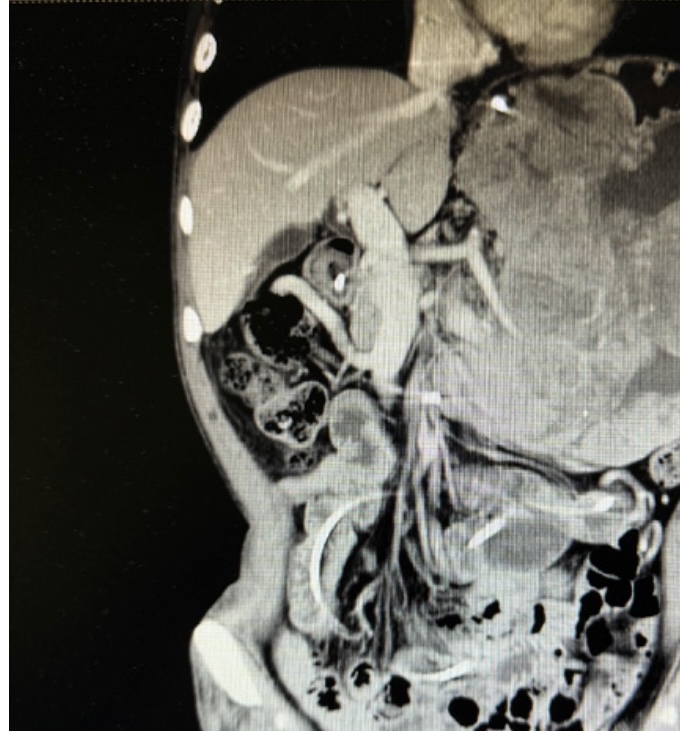
患者术前影像资料
经过严格的术前准备和周密的计划,在胃肠外科李小荣主任医师、肝胆胰外科余枭主任医师的指导下,由胃肠外科张翼主任医师、郭一航副主任医师团队联合肝胆胰外科孙吉春副主任医师的多学科团队,成功为患者实施了腹腔巨大肿瘤及多脏器联合切除手术。术中,当团队切开腹腔后,巨大肿瘤与脾动脉的粘连程度远超术前预判,解剖结构模糊不清;随着分离操作的推进,患者在术中出血量逐渐增加,甚至高达 2000ml。面对紧急情况,张翼主任医师团队始终沉着冷静,凭借数十年积累的外科经验与精准的操作技巧,小心翼翼地剥离肿瘤与血管的粘连组织,避开每一处关键神经与分支血管,一步步 “拆解” 肿瘤对脾动脉的包裹。经过数小时的高强度手术,团队最终将完整的巨大肿瘤完整切除,手术顺利结束。
术后,患者迅速转入专科监护病房。在胃肠外科护理团队的精心照护下,患者未出现感染、再出血等并发症,胃肠功能逐步恢复,从流质饮食过渡到半流质饮食,贫血症状也通过针对性治疗得到明显改善。“真的太感谢张教授团队了!之前跑了好几家医院,都说手术风险太大不敢接,我们心里一直悬着,就怕没机会了。” 患者家属握着医护人员的手激动地说:“手术那天我们在外面等,听到出血量那么大,心都提到嗓子眼了,还好张教授稳住了!现在病人能正常吃饭、走路,精神头也越来越足,这都是你们给的第二次生命啊!” 目前,患者各项生命体征平稳,即将顺利出院,回归健康生活。
“胃底巨大间质瘤合并血管包绕的手术,是胃肠外科领域的‘硬骨头’。” 张翼表示,此类手术的成功不仅考验术者的技术熟练度与应急判断力,更依赖多学科团队的紧密协作,“从术前精准评估、风险预判,到术中麻醉支持、输血保障,再到术后康复管理,每一个环节都至关重要。”他表示,中南大学湘雅三医院胃肠外科始终坚持以患者为中心,不断攻克复杂手术难题,努力为更多疑难胃肠疾病患者点亮生命希望。
中南大学湘雅三医院胃肠外科经过多年发展,在医疗质量安全、医疗新技术、人才培养、学科建设、科室管理等方面均取得了优异成绩。科室通过党建引领的多学科协作,创立了新湘雅胃肠疾病诊疗新模式,建立了以胃肠肿瘤微创手术、围手术期ERAS管理、胃肠肿瘤多学科(MDT)诊疗、肠梗阻综合治疗、个体化和精准化超低位保肛、盆腔局部晚期肿瘤行全盆切除及侧方淋巴结清扫等为特色的诊疗新技术,在省内形成了强大的影响力和号召力,彰显了新湘雅的不断创新精神。
[上一篇] 湘雅三医院指导江华县民族中医医院开展首例...
[下一篇] 湘雅三医院整形美容外科成功诊治罕见病少女...
人民网 | 新华网 | 中华人民共和国国家卫生健康委员会 | 中华人民共和国教育部 | 湖南省政府 | 红网 | 湖南省卫生健康委员会 | 湖南省教育厅 | 中南大学 | 湘雅医学院 | 湘雅医院 | 湘雅二医院 | 协和医院 | 华西医院 | 西京医院 | 瑞金医院 | 复旦中山医院 | 武汉同济医院 | 中山医院
医院地址:湖南省长沙市河西岳麓区桐梓坡路138号 中南大学湘雅三医院 版权所有
湘教QS3-200505-000574 备案序号:湘ICP备05001139号 今日访问人数:205325 总访问人数:512713847